Ambulante und stationäre Fußoperationen
Liebe Patientin, lieber Patient,

Dabei treten zu unterschiedlichen Lebensaltern verschiedene Erkrankungen auf. Neugeborene können unter anderem mit einem Klumpfuß zur Welt kommen, Schulkinder leiden häufig an Fußdeformitäten, insbesondere an Knickfüßen. Im Erwachsenenalter bereiten häufig Hühneraugen, Fehlstellungen der Großzehe wie der Hallux valgus oder Hammerzehen und Krallenzehen der Kleinzehen, erhebliche Beschwerden. Durchblutungsstörungen oder eine Zuckerkrankheit können mit zunehmendem Alter die Problematik verschärfen, es können daraus gefährliche Erkrankungen entstehen.
Primär ist es unsere Aufgabe, frühzeitig Störungen der Fußmechanik, Veränderungen an den Knochen und Weichteilen zu erkennen und zu behandeln. Bei fortgeschrittenen Erkrankungsstadien sind konservative Behandlungen aber nicht mehr ausreichend, so dass durch die Operation die Schmerzen beseitigt, die Funktion und das ästhetische Bild verbessert werden müssen.
Mit dieser Broschüre möchten wir sie über die am häufigsten durchgeführten operativen Eingriffe am Fuß in unserer Praxis informieren. Die Eingriffe werden dabei von Dr. Oliver Fischer, Facharzt für Orthopädie und Chirurgie und zertifizierter Fußchirurg (www.gffc.de) , durchgeführt. Je nach Größe und Umfang des Eingriffes können wir den Eingriff ambulant in unserer Praxis oder stationär im Westpfalz Klinikum Kaiserslautern anbieten.
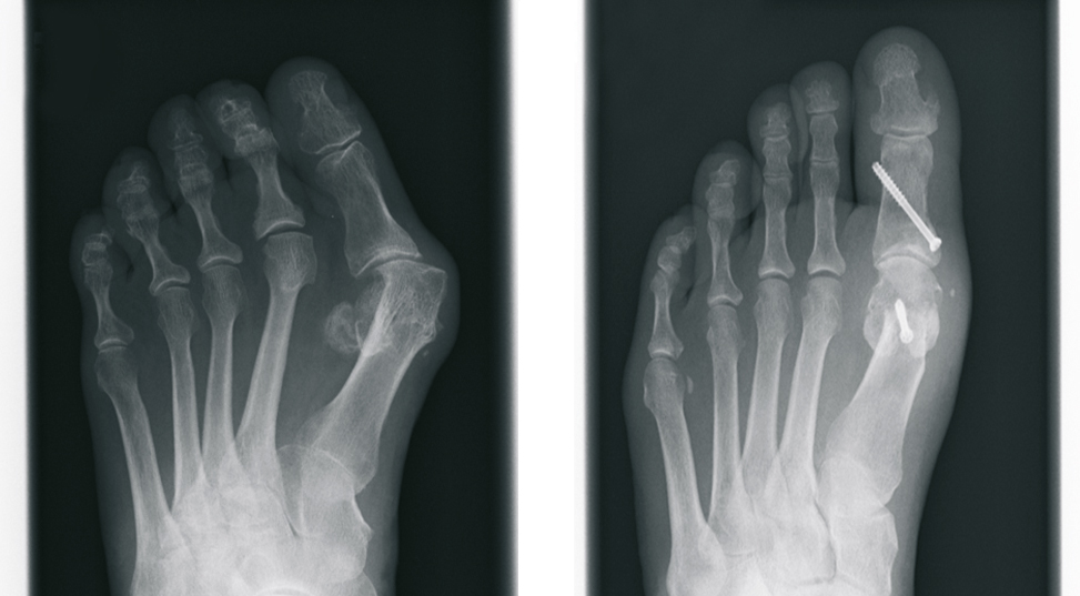
Der Hallux valgus (Ballenzehe)

Von einer operativen Korrektur ohne Vorhandensein von Schmerzen, d. h. aus rein kosmetischer Sicht, ist abzuraten. Bei Auftreten von Schmerzen im Bereich der Großzehe ist die operative Vorgehensweise jedoch die einzig dauerhafte therapeutische Möglichkeit.
Nach ausführlicher Untersuchung, Betrachtung der individuellen Erfordernisse, sowie Analyse der Röntgenbilder wird die Behandlung festgelegt. Hierbei kommen verschiedene international anerkannte Operationsverfahren zur Anwendung. Wir verwenden dabei modernste Platten und Schrauben aus Titan.

In Abhängigkeit vom Ausmaß der Operation bzw. dem zur Anwendung kommenden Verfahren, haben wir die Möglichkeit sowohl eine ambulante, als auch eine stationäre Behandlung durchzuführen.
Wir beraten Sie gerne!
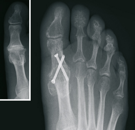
Hallux rigidus (versteiftes Großzehengrundgelenk)

Im Anfangsstadium der Beschwerden kann ein Behandlungsversuch mit orthopädischen Schuheinlagen oder Schuhzurichtungen erfolgen und zeitweilig helfen. Eine dauerhafte Schmerzfreiheit kann aber nur durch Anwendung eines operativen Verfahrens erreicht werden.
Auch hier muss nach gründlicher Untersuchung und exakter Analyse der Röntgenbilder, vor allem aber nach Betrachtung der individuellen Erfordernisse, die Behandlung festgelegt werden. Hierzu stehen uns gelenkerhaltende sowie gelenkversteifende Operationsverfahren zur Verfügung.
Krallenzehe

Knick-Senk-Fuß bei Kindern (Plattfuß)
Beim kindlichen Knick-Senk-Fuß handelt es sich zunächst um eine völlig normale und sogar für den Abrollvorgang beim Laufen notwendige Fußstellung. Erst ab einem bestimmten Schweregrad spricht man von einer echten Fehlstellung des Fußes. Die Stellung kann sich dabei im Laufe der Jahre während der Wachstumsphase auch von selbst bessern.
Eine krankhafte Fehlstellung kann Schmerzen, sowohl im Bereich des Sprunggelenkes und der Achillessehne, als auch im Bereich des Kniegelenkes verursachen, sogar Beschwerden im Rücken oder der Hüfte können die Folge sein. Grundsätzlich ist zunächst eine fachärztliche Untersuchung sinnvoll, eine weitere Behandlung jedoch oftmals nicht notwendig. Bei ausgeprägter Fehlstellung oder entsprechenden Beschwerden sollte jedoch eine gründliche Abklärung, einschließlich Röntgenuntersuchung in standardisierter Technik erfolgen.
Zur Behandlung steht zunächst die Einlagenversorgung und Fußgymnastik im Vordergrund, reicht diese nicht aus, muss ein operatives Verfahren in Erwägung gezogen werden.
Hierzu steht seit einigen Jahren ein modernes minimal invasives Verfahren, die so genannte Arthrorise zur Verfügung. Über einen kleinen Schnitt von nicht mehr als 2 cm, wird eine hierfür entwickelte Spezialschraube in das untere Sprunggelenk eingebracht. Wesentliche Weichteile oder Gelenke werden hierbei weder versteift noch zerstört.
Durch die Schraube kommt es zur Aufrichtung des Plattfußes. Bereits nach zwei Wochen ist eine normale Belastung möglich. Die Schraube kann nach 2-3 Jahren wieder entfernt werden, die verbesserte Fußstellung bleibt dennoch bestehen.

Eine krankhafte Fehlstellung kann Schmerzen, sowohl im Bereich des Sprunggelenkes und der Achillessehne, als auch im Bereich des Kniegelenkes verursachen, sogar Beschwerden im Rücken oder der Hüfte können die Folge sein. Grundsätzlich ist zunächst eine fachärztliche Untersuchung sinnvoll, eine weitere Behandlung jedoch oftmals nicht notwendig. Bei ausgeprägter Fehlstellung oder entsprechenden Beschwerden sollte jedoch eine gründliche Abklärung, einschließlich Röntgenuntersuchung in standardisierter Technik erfolgen.
Zur Behandlung steht zunächst die Einlagenversorgung und Fußgymnastik im Vordergrund, reicht diese nicht aus, muss ein operatives Verfahren in Erwägung gezogen werden.
Hierzu steht seit einigen Jahren ein modernes minimal invasives Verfahren, die so genannte Arthrorise zur Verfügung. Über einen kleinen Schnitt von nicht mehr als 2 cm, wird eine hierfür entwickelte Spezialschraube in das untere Sprunggelenk eingebracht. Wesentliche Weichteile oder Gelenke werden hierbei weder versteift noch zerstört.

Durch die Schraube kommt es zur Aufrichtung des Plattfußes. Bereits nach zwei Wochen ist eine normale Belastung möglich. Die Schraube kann nach 2-3 Jahren wieder entfernt werden, die verbesserte Fußstellung bleibt dennoch bestehen.
Fersensporn
Der plantare Fersensporn (unten an der Ferse) entsteht durch eine Überlastung der das Fußlängsgewölbe verspannenden Faszie. Bindegewebsschwäche, Fehlbelastung, Fehlstellung, aber auch Übergewicht können hierfür verantwortlich sein. Durch die Überlastung entsteht zwischen dem Fersenbein und der Anhaftungsstelle dieser Faszie eine zunehmende Gewebeschädigung, verbunden mit einer Verknöcherung, dem sogenannten Fersensporn. Nicht der Sporn selbst, sondern diese Gewebeschädigung verursacht die Schmerzen. Sie treten zunächst vorwiegend belastungsabhängig auf, später aber auch in Ruhe. An erster Stelle der möglichen Behandlungen steht die Versorgung mit speziellen orthopädischen Einlagen. Auch Injektionen, direkt an den Fersensporn, haben ihren Stellenwert. Sehr bewährt hat sich die risikofreie Stoßwellentherapie, die auch in unserer Praxis durchgeführt wird. Alternativ kann Röntgenbestrahlung eine Ausheilung bewirken.
Versagen alle nicht operativen Maßnahmen, besteht auch hier eine operative Behandlungsmöglichkeit. Dabei wird über einen kleinen Schnitt am inneren Fersenrand die Faszie eingekerbt, die Spannung lässt nach und die Gewebeschädigung kann ausheilen.
Der dorsale Fersensporn (hinten an der Ferse) entsteht durch eine Überlastung am Ansatz der Achillessehne. Durch das unmittelbar darunter liegende Fersenbein ist in diesem Bereich sehr wenig Raum zwischen der Haut und dem Knochen. Druckschäden bzw. -schmerzen können die Folge sein. Zunächst sollte daher eine konsequente Druckentlastung durch geeignetes Schuhwerk versucht werden. Hilft dies nicht, muss der Sporn operativ entfernt werden. Hierzu kann es unter Umständen notwendig sein, den Ansatz der Achillessehne abzulösen und wieder am Fersenbein zu fixieren.
Diese Informationen können Ihnen nur eine Vorstellung über Behandlungsmöglichkeiten und moderne Fußoperationen geben. Die Entscheidung, ob und wie operiert wird, kann erst nach einer eingehenden Untersuchung gemeinsam mit ihnen festgelegt werden.

Versagen alle nicht operativen Maßnahmen, besteht auch hier eine operative Behandlungsmöglichkeit. Dabei wird über einen kleinen Schnitt am inneren Fersenrand die Faszie eingekerbt, die Spannung lässt nach und die Gewebeschädigung kann ausheilen.
Der dorsale Fersensporn (hinten an der Ferse) entsteht durch eine Überlastung am Ansatz der Achillessehne. Durch das unmittelbar darunter liegende Fersenbein ist in diesem Bereich sehr wenig Raum zwischen der Haut und dem Knochen. Druckschäden bzw. -schmerzen können die Folge sein. Zunächst sollte daher eine konsequente Druckentlastung durch geeignetes Schuhwerk versucht werden. Hilft dies nicht, muss der Sporn operativ entfernt werden. Hierzu kann es unter Umständen notwendig sein, den Ansatz der Achillessehne abzulösen und wieder am Fersenbein zu fixieren.
Diese Informationen können Ihnen nur eine Vorstellung über Behandlungsmöglichkeiten und moderne Fußoperationen geben. Die Entscheidung, ob und wie operiert wird, kann erst nach einer eingehenden Untersuchung gemeinsam mit ihnen festgelegt werden.