Ambulatory and stationary Foot Surgeries
Dear Patient,

Different Illnesses arise in different Ages. Newborn Children can come among other things with a club foot to the world, School Children suffer Foot Deformities frequently, in particular at articulated feet. At the Adult Age corns frequently, malpositions of the Large Toe prepare like the Hallux valgus or hammertoes and clawtoes of the small toes, substantial Complaints. Circulatory disorders and diabetes can worsen with age, the problem, it could represent an dangerous diseases.
Primarily it is our Task to recognize disturbances of the foot mechanics and treat changes in the bones and soft parts. In advanced stages of the disease conservative treatments are no longer sufficient, that by the surgery eliminates pain, function and aesthetic image needs to be improved.
With this Brochure we would like to inform you about the most commonly performed surgical procedures on the foot in our practice. The procedures are performed by Dr. Oliver Fischer, Specialist in Orthopaedics and Surgery and certified foot surgeon. Depending on the size and extent of the procedure, we can offer the outpatient surgery in our clinic or hospital in St. John's hospital in Landstuhl.

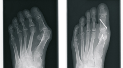
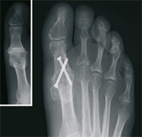
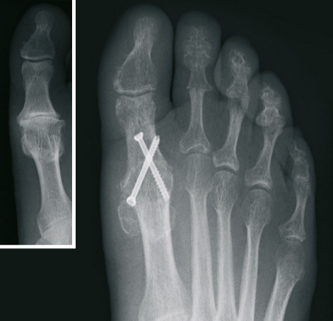
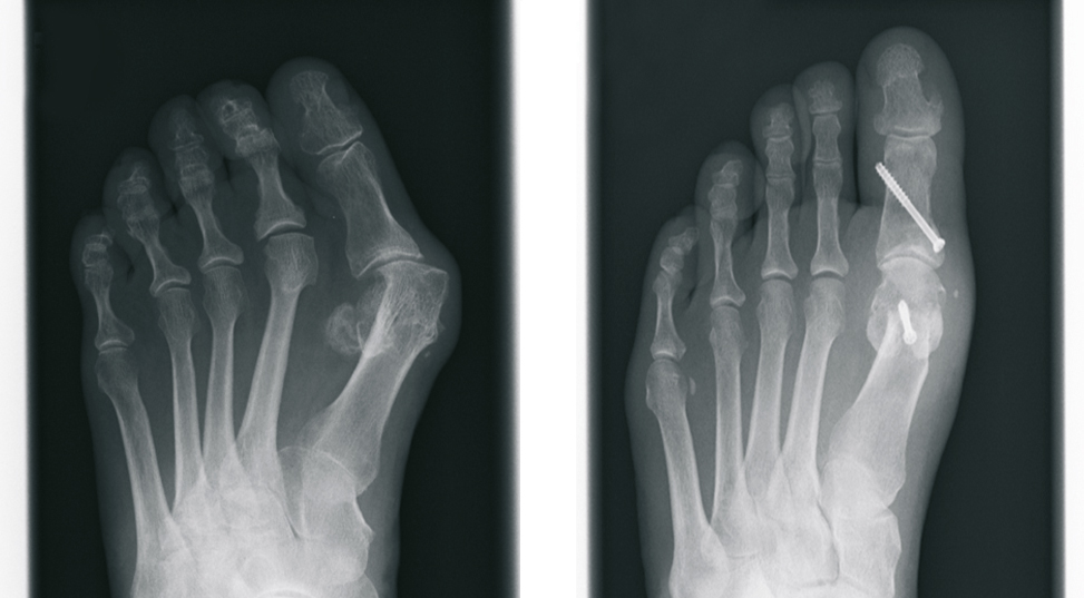
The Hallux valgus (balltoe)

Surgical correction without the presence of pain is not advisable from a purely cosmetic point of view. However, In case of pain in the big toe, the operative procedure is the only permanent therapeutic option.
After extensive examination, consideration of individual needs, as well as analysis of the X-ray images, the treatment is determined. Different internationally recognized surgical procedures are used. We use modern plates and titanium screws.

Depending on the extent of surgery and the procedures to be applied, we have the ability to perform both an outpatient and inpatient treatment.
We would be glad to advise you!
Hallux rigidus (stiffened big toe joint)

In the initial stage of the complaints, a treatment trial performed with orthopedic insoles or shoe modifications will help temporarily. Lasting pain free can be achieved through application of a surgical procedure.
The treatment can be determined after a thorough examination and analysis of accurate X-ray images, especially after considering the individual needs. Joint preserving and joint-stiffening surgical procedures are available.
Claw Toe

Buckling-fallen arches (flat feet) by children
During childhood flatfoot buckling is initially a perfectly normal and even necessary for the rolling foot position when walking. Only at a certain severity it is called a real deformity of the foot. The position can improve during the years automatically.
A pathological deformity can cause pain around the ankle and Achilles tendon and in the area of the knee joint. Even symptoms in the back or the hip may result. First of all a basic medical examination is appropriate but a further treatment not often necessary. In severe deformity or relevant symptoms should be a thorough investigation, including x-ray examination in a standardized technique.
For treatment the first steps are insoles and foot exercises, if this is not enough of a surgical procedure must be taken into consideration.
For this a modern minimum invasive Procedure, the so-called arthroereisis is available for some years. Through a small incision of no more than 2 cm, a special invented screw is inserted into the lower ankle. Important soft tissues or joints wont be stiffened or destroyed.
Flatfoot raising comes by the the screw. After two weeks a normal ist load possible. The Screw can be removed after 2-3 Years, the improved foot positions remains.

A pathological deformity can cause pain around the ankle and Achilles tendon and in the area of the knee joint. Even symptoms in the back or the hip may result. First of all a basic medical examination is appropriate but a further treatment not often necessary. In severe deformity or relevant symptoms should be a thorough investigation, including x-ray examination in a standardized technique.
For treatment the first steps are insoles and foot exercises, if this is not enough of a surgical procedure must be taken into consideration.
For this a modern minimum invasive Procedure, the so-called arthroereisis is available for some years. Through a small incision of no more than 2 cm, a special invented screw is inserted into the lower ankle. Important soft tissues or joints wont be stiffened or destroyed.

Flatfoot raising comes by the the screw. After two weeks a normal ist load possible. The Screw can be removed after 2-3 Years, the improved foot positions remains.
Calcaneal
The plantar Calcaneal (at the bottom of the heel) is caused by an overload of the longitudinal arch braced fascia. Connective tissue, excessive loads, malposition, but also overweight may be responsible. The congestion between the heel bone and the attachment site of this fascia is an increasing tissue damage associated with a ossification, called Calcaneal. Not the spur itself, but this tissue damage is causing the pain. They start appearing when putting pressure on it, but later also at rest. First of all the available treatments is the supply of special arch supports. Also injections directly to the Calcaneal, have their value. The shock wave therapy as proved to be very risk-free, which is carried out in our practice. Alternatively, X-ray irradiation effect healing.
Failure of all non-operating activities is also a surgical treatment option. Via a small cut at the inner edge of the heel fascia is nicked, the voltage decreases and the tissue damage can heal.
The posterior Calcaneal (back of the heel) is caused by an overload of the Achilles tendon at the base. Through the underlying calcaneus is very little space between the skin and bone. Pain or pressure damage may be the result. The beginning should be a consistent pressure relief by appropriate footwear. If this wont help the spur has to be removed surgically. For this purpose, it can sometimes be necessary to replace the approach of the Achilles tendon and fix it back to the heel bone.
This information can only give you an idea about treatment options and modern foot surgery. The decision on whether and how to operate, can be set only after a thorough investigation.

Failure of all non-operating activities is also a surgical treatment option. Via a small cut at the inner edge of the heel fascia is nicked, the voltage decreases and the tissue damage can heal.
The posterior Calcaneal (back of the heel) is caused by an overload of the Achilles tendon at the base. Through the underlying calcaneus is very little space between the skin and bone. Pain or pressure damage may be the result. The beginning should be a consistent pressure relief by appropriate footwear. If this wont help the spur has to be removed surgically. For this purpose, it can sometimes be necessary to replace the approach of the Achilles tendon and fix it back to the heel bone.
This information can only give you an idea about treatment options and modern foot surgery. The decision on whether and how to operate, can be set only after a thorough investigation.